Przejdź do głównej treści
0 : 0 : 0
polski
Zamknij wyszukiwarkę Wyczyść Szukaj
Produkty w koszyku: 0. Zobacz szczegóły

Twój koszyk jest pusty

Intensiv SA

Wiertła zestaw uniwersalny do preparacji wg. prof.Hammerle Nr 157

Przejdź do sekcji Opinie

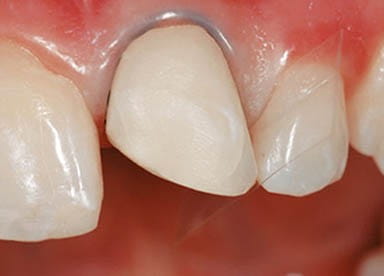
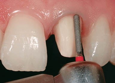
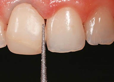
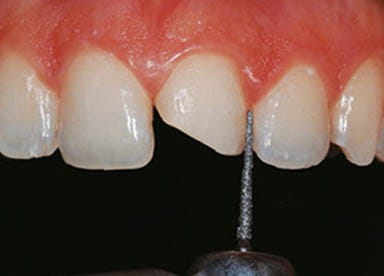
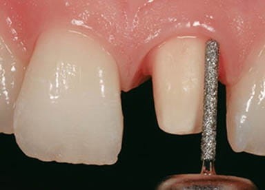
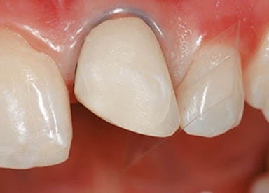
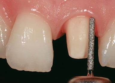
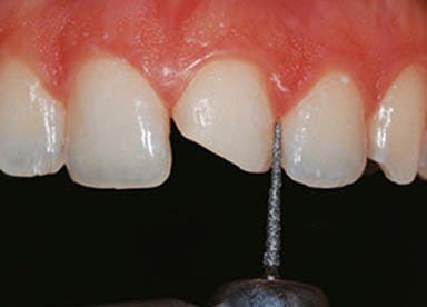
Zestaw powstał na Uniwersytecie w Zurychu, złożony przez Prof. Christopha Hämmerle na podstawie klinicznych doświadczeń
do preparacji koron i mostów.

Diamentowe wiertła do inlays, częściowych i pełnych koron, mostów i napraw ruchomych. Wiertła przeznaczone do prac na metalu i także metali i porcelanie.

Producent: Intensiv, Szwajcaria

Przejdź do pełnego opisu
Cena 790,00 zł
szt.
Dostępność:
na wyczerpaniu
Czas wysyłki: 24 godziny

Opis

Innowacyjny zestaw Prep w stojaku na wiertła ze stali nierdzewnej.

- Schemat  ułatwia precyzyjne stosowanie metod nowoczesnej stomatologii rekonstrukcyjnej

- Metody preparacji oszczędzające tkanki przygotowanie do preparacji pod: licówki, wkłady, nakłady, korony i mosty adhezyjne

- Zestaw wzbogacony o wiertła oscylacyjne

- Dwuczęściowy stojak na wiertła ze stali nierdzewnej, składający się z podstawy, połączonej z odłączaną pokrywą

- Wymiary: dł. 77 mm, szer. 75 mm, wys. 31 mm

- Pojemnik jest wydrukowany z diagramem, a także piktogramami instrumentów, ułatwia uporządkowanie wierteł

- Wiertła: - 1 stożek, spiczasty, Ø 012, 11 mm, 80 μm - 4 cylindry, x-długie, okrągłe, Ø 012, 013, 011 i 011, 10 mm, 90 i 40 μm - 1 kulka, Ø 018, 90 μm - 2 stożki, zaokrąglona krawędź, Ø 018, 8 mm, 80 i 40 μm - 2 piłki, Ø 023 i 021, 5 mm, 106 i 40 μm - 1 stożek okrągły, Ø 016, 8 mm, 50 μm

Opinie

Liczba ocen: 0
Oceń i opisz