Przejdź do głównej treści
0 : 0 : 0
polski
Zamknij wyszukiwarkę Wyczyść Szukaj
Produkty w koszyku: 0. Zobacz szczegóły

Twój koszyk jest pusty

Intensiv SA

Linijka IPR do pomiarów strippingu IPR; 8 szt.

Przejdź do sekcji Opinie

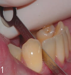
Do mierzenia przestrzeni podczas wykonywanego strippingu

Przejdź do pełnego opisu
Cena 280,00 zł
szt.
Dostępność:
średnia ilość
Czas wysyłki: 24 godziny

Opis

- Linijka (miarka) do mierzenia grubości przestrzeni podczas strippingu
- IPR (redukcja szkliwa na powierzchniach stycznych)
- Wykonana ze stali nierdzewnej
- Do sterylizacji i wielokrotnego użytku
- Grubość linijki widoczna na każdym instrumencie
- Instrument składa się z 8 metalowych linijek, wykonanych ze stali nierdzewnej
- Linijki spięte wygodnym uchwytem
- Wysokość 4mm, dł.40 mm

Grubości linijek pomiarowych:
- 0,10 mm
- 0,15 mm
- 0,20 mm
- 0,25 mm
- 0,30 mm
- 0,40 mm
- 0,50 mm
- 1 mm

 

IPR – praktyczna tabela kliniczna (paski diamentowe ręczne)

Planowana redukcja na kontakt Gradacja początkowa Gradacja wykończeniowa Uwagi kliniczne
0,1 mm 25–40 µm 15–20 µm Delikatna korekta kontaktu
0,2 mm 40–60 µm 15–25 µm Najczęstsza wartość w alignerach
0,3 mm 60–90 µm 25–40 µm Wymaga kontroli szczelinomierzem
0,4–0,5 mm 80–100 µm (lub sekwencyjnie) 25–40 µm Lepiej wykonywać etapowo

 


Producent: Intensiv SA, Szwajcaria

Opinie

Liczba ocen: 0
Oceń i opisz

Inni klienci wybrali również